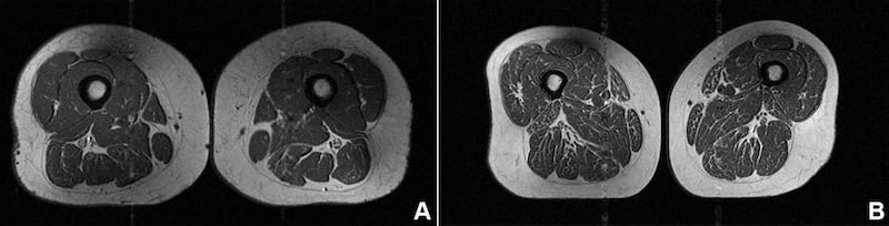
The image looks like a slice of highly marbled flesh, reminiscent of a high-end steak with abundant fine-grained streaks of fat. But that’s not dinner. It’s an MRI scan of the thigh of a 62-year-old woman who obtained 87 per cent of her annual calories from ultraprocessed food.
“This participant’s diet was mainly comprised of cold cereals, chocolate candy or candy bars, regular soft drinks or bottled sugary drinks,” said Dr. Zehra Akkaya, a researcher and consultant in the Clinical and Translational Musculoskeletal Imaging Research group at the University of California, San Francisco.
Hidden streaks of fat hiding between and within muscle fibers can signal serious health problems, said Akkaya, the lead author of a new study that analyzed how ultraprocessed food impacts intramuscular fat in people at risk for knee osteoporosis.
Ultraprocessed foods have been linked to weight gain and obesity and the development of chronic conditions including cancer, cardiovascular disease, type 2 diabetes and depression. Such foods may even shorten life.
More than 50% of the calories consumed by adults in the US come from ultraprocessed foods, according to the US Centers for Disease Control and Prevention. In children that number rises to 62%.
A 61-year-old woman in the study also had fat marbling in her thigh muscles, but it was not as intense. About 29% of her annual diet consisted of ultraprocessed foods.
“It was especially concerning because these individuals — scanned at a time when they had no signs of knee osteoarthritis — already showed compromised muscle quality,” Akkaya said.
The link between fatty muscles and knee pain
Fat cells weaken muscles by serving as a roadblock to growth, preventing muscle fibers from properly regenerating. Weak muscles are a key driver of knee osteoarthritis, the most common form of joint disease affecting nearly 375 million people worldwide. Once known to be a disease of the elderly, one study found more than half of new cases are in people under 55 years of age, likely driven by the dramatic global rise in obesity.
“Thigh muscles are crucial for knee joint stability, and any loss in their strength or tone can increase mechanical stress on the joint — particularly in obese individuals, where excess body weight amplifies this burden,” Akkaya said. “Our group and others have previously established strong links between muscle strength, quality, function and knee osteoarthritis development.”
Finding intramuscular fat in the thigh means other muscles in the body are also affected, said radiologist Dr. Miriam Bredella, director of the Clinical and Translational Science Institute at NYU Langone Health in New York City.
“It’s a systemic process so it’s not just in the thigh. You can look at other muscles — the calves, the shoulders, the abdomen — and they will look similar,” said Bredella, who was not involved in the study.
Having decreased muscle quality from fatty infiltration means muscles are not as strong — and that’s a predictor for future health problems, she said.
“If you are in the hospital, muscle weakness increases your length of stay. If you have surgery, it’s a negative predictor of outcomes,” Bredella said. “We’ve done a lot of studies in patients with cancer. It increases surgical complication, tumor recurrence — it is bad.”
Are ultraprocessed foods the culprit?
The new study, published Tuesday in the journal Radiology, analyzed MRI scans from 615 people participating in the Osteoarthritis Initiative, a nationwide research study designed to learn how to prevent and treat knee osteoarthritis. No one in the study had signs of knee osteoarthritis. On average, participants were 60 years old with a BMI, or body mass index of 27.
When calculating a person’s BMI, a body mass of between 25 and 29.9 is overweight, between 30 and 34.9 is obese, between 35 and 39.9 is class 2 obesity, and anything greater than 40 is “severe” or class 3 obesity.
The 61-year-old woman with a diet consisting of 29.5% ultraprocessed food (A in image below) had a slightly higher BMI of 32.6 and a much lower activity score than the woman (B in image) with a BMI of 31.8 whose diet was 87.1% ultraprocessed. Yet the woman with the higher ultraprocessed score still had dramatically more fat marbling in her thighs.
Calorie intake didn’t appear to matter, according to study senior author Dr. Thomas Link, professor and division chief of musculoskeletal radiology at UCSF Department of Radiology and Biomedical Imaging.
“Throughout the study, the more ultraprocessed foods a person consumed, the more intramuscular fat they had in their thigh muscles, regardless of caloric intake,” he said.
While the study could not show that ultraprocessed foods caused the fatty marbling in muscles, “it was a strong association,” Bredella said. “But we have no idea how long you have to eat ultraprocessed food for this to happen to muscles. If you just stop eating those foods — would it go away?”
“What we do know is that if you have fat infiltration of muscle and you start exercising and eating healthy, you can definitely improve your muscle quality,” she said. “It’s much easier in younger than older people, but it can be done.”
How to lose fat, gain muscle and protect joints
Don’t turn to ball sports, such as basketball or tennis, Link advised: “We don’t recommend high impact exercise because that can destroy the knee joint. Low impact exercise is best.”
Target the muscles surrounding the knee — the quads, hamstrings, glutes and calves — with exercises like wall squats, a step-up exercise box, standing leg lifts, inner thigh lifts and calf and heel raises, experts say.
“In one of our studies we found the elliptical trainer is very beneficial, perhaps more beneficial than other low impact exercises. And of course, strength training with weights is very helpful,” Link said.
As for your diet, eating a well-rounded meal of “real foods” that you cook at home is best, Bredella said.
“Muscles need adequate protein, but turning to ultraprocessed protein bars and supplements isn’t the answer,” she said. “A lot of these protein bars are just full of sugar and not really healthy, contrary to what is advertised on the label.”
You can reduce ultraprocessed foods in your life even more by taking these steps:
- Read and compare product labels and try to choose less processed alternatives. For example, swap flavored yogurt for plain yogurt with added fruit.
- What you include is just as important as what you exclude. Focus on what you can add to your diet such as whole grains, vegetables, beans and legumes and fruits that are fresh, frozen or canned in water.
- Be mindful of beverages. Sugar-sweetened beverages have no nutritional value. Swap them out for water.
- When eating out, go to local restaurants and cafés instead of fast-food chains. Local eateries are less likely to make ultraprocessed foods.
By Sandee LaMotte, CNN

